Skip navigation
October 17, 2024

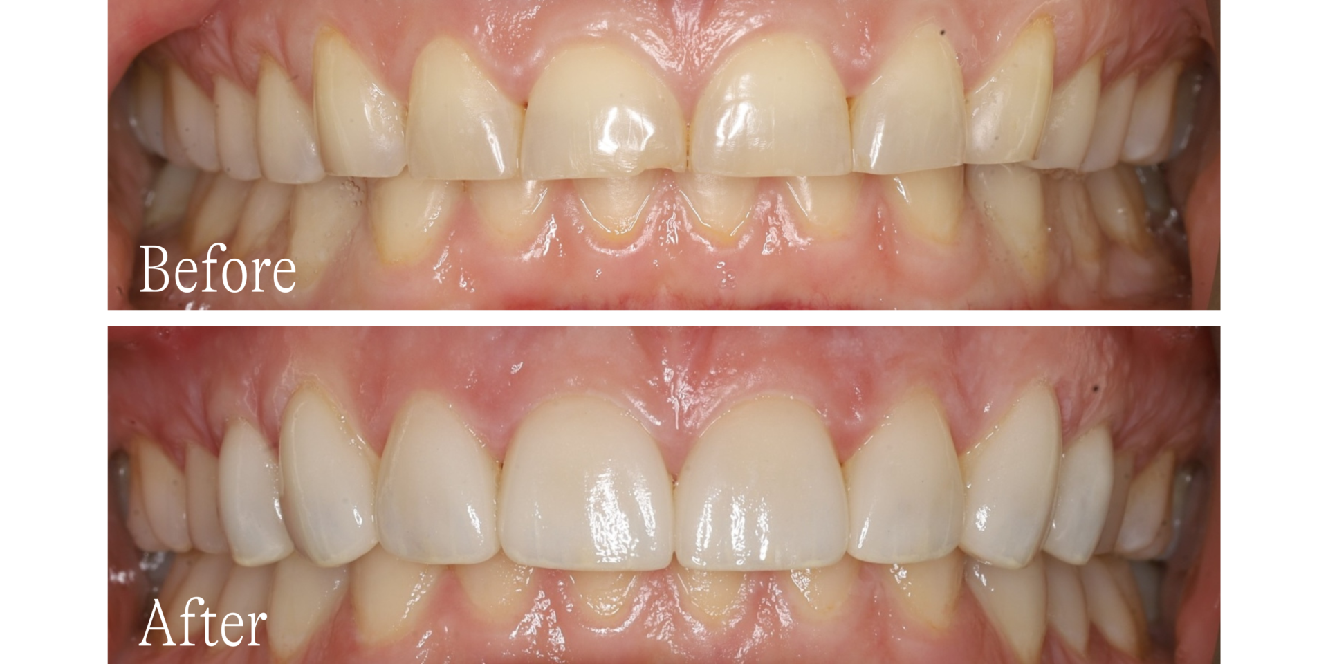
Digital Smile Design: The Future of Cosmetic Dentistry

At Kensington Dental Care, we’re at the forefront of dental technology, embracing cutting-edge techniques like Digital Smile Design (DSD). This innovative approach is revolutionising cosmetic dentistry, offering patients a glimpse of their new smile before any treatment begins.

What is Digital Smile Design?

Digital Smile Design is an advanced dental treatment planning process that combines digital technology with artistic vision to create personalised smile makeovers. This comprehensive approach allows dentists to design and visualise dental restorations digitally, taking into account the patient’s facial features, smile lines, and overall aesthetics.

The Digital Smile Design Process

The digital smile design process involves several steps. These include:

  1. Digital Imaging: High-resolution digital photos and videos of the patient’s face and smile are captured.
  2. Analysis: Dentists analyse the patient’s facial proportions, smile lines, and teeth in relation to their facial features.
  3. Design: Using specialised software, a digital mock-up of the proposed smile makeover is created.
  4. Preview: Patients can see a virtual representation of their perfect smile before any actual dental work begins.
  5. Treatment Planning: The digital design guides the creation of dental moulds and helps plan the actual dental procedures.

Benefits of Digital Smile Design

This innovative technology ensures personalised and predictable results, enhancing both aesthetic and functional outcomes.

Customised Treatment Plans

Digital Smile Design allows for highly personalised treatment plans. Each smile makeover is tailored to the individual patient’s facial features and aesthetic goals, ensuring natural-looking results that complement their overall appearance.

Enhanced Communication

DSD improves communication between both the dentist and the patient. By providing digital images of the expected outcomes, patients can better understand the proposed treatment and provide feedback before any irreversible procedures are performed.

Predictable Outcomes

With DSD, dental professionals can create smiles with more predictable outcomes. Patients can see and approve their ideal smile before treatment begins, leading to higher patient satisfaction rates.

Comprehensive Approach

Digital Smile Design takes a holistic view, considering not just the patient’s teeth, but also their facial features, lip line, and even personality. This approach ensures that the final result aligns with the patient’s desires and expectations.

Who Can Benefit From Digital Smile Design?

Anyone looking to enhance their smile’s appearance, correct dental imperfections, or achieve a more harmonious facial aesthetic can benefit from Digital Smile Design. Whether you’re looking to address a single aesthetic concern or undergo complete smile makeovers, digital smile design can help visualise and plan your dream smile.

The Future of Cosmetic Dentistry at Kensington Dental Care

At our dental practice, we’re excited about the potential of Digital Smile Design to transform our patients’ smiles and boost their confidence. As dental technology advances, we remain committed to offering the most innovative solutions in cosmetic dentistry.

Digital Smile Design represents a significant leap forward, offering a level of precision and predictability that surpasses traditional methods. By embracing this technology, we can provide our patients with more control over their smile makeover process and achieve stunning results that exceed expectations.

The Cost of Digital Smile Design

While the digital smile design cost may vary depending on the complexity of the case and the treatment options chosen, many patients find the investment worthwhile. The ability to “test drive” your new smile and make informed decisions about your dental care can lead to greater satisfaction with the final results.

Payment Plans

As an accredited DentiCare provider, we offer interest-free payment plans to make dental treatment affordable, and we’re pleased to now accept Afterpay. Our clinic is a preferred partner of Bupa and HCF health funds, and we also accept all other health funds, including the Department of Veteran Affairs (DVA).

Dreaming of Your New Smile?

Don’t let concerns about the unknown hold you back from improving your smile. With Digital Smile Design, you can visualise your new tooth shape and aesthetic treatments before committing to a treatment plan, giving you realistic expectations and the confidence to move forward with your smile makeover. By utilising digital photographs and fostering patient collaboration, we ensure that your desired outcome is achieved, resulting in a confident smile.

Get in Touch

Contact Kensington Dental Care today to learn more about how Digital Smile Design can transform your smile into a beautiful smile. Using advanced digital tools, we offer precision and artistry in cosmetic dentistry. Visit our website to book your initial consultation or call us at (08) 8333 0885. Let us help you design the smile you deserve with the future of cosmetic dentistry. Interested to learn more? Click for more information on our cutting-edge smile design technique.

Next up:

Invisalign vs. Traditional Braces: Which is Right For Your Crooked Teeth?

Read